Caries of the anterior teeth has specific clinical characteristics and often develops differently from lesions affecting the posterior teeth. Professor Alexander von Breuer says that the front teeth are most often affected by delayed diagnosis, as early changes are perceived by patients as a cosmetic issue rather than a disease. At DentalClinic24, such cases are approached with particular attention to prognosis and aesthetics.
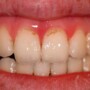
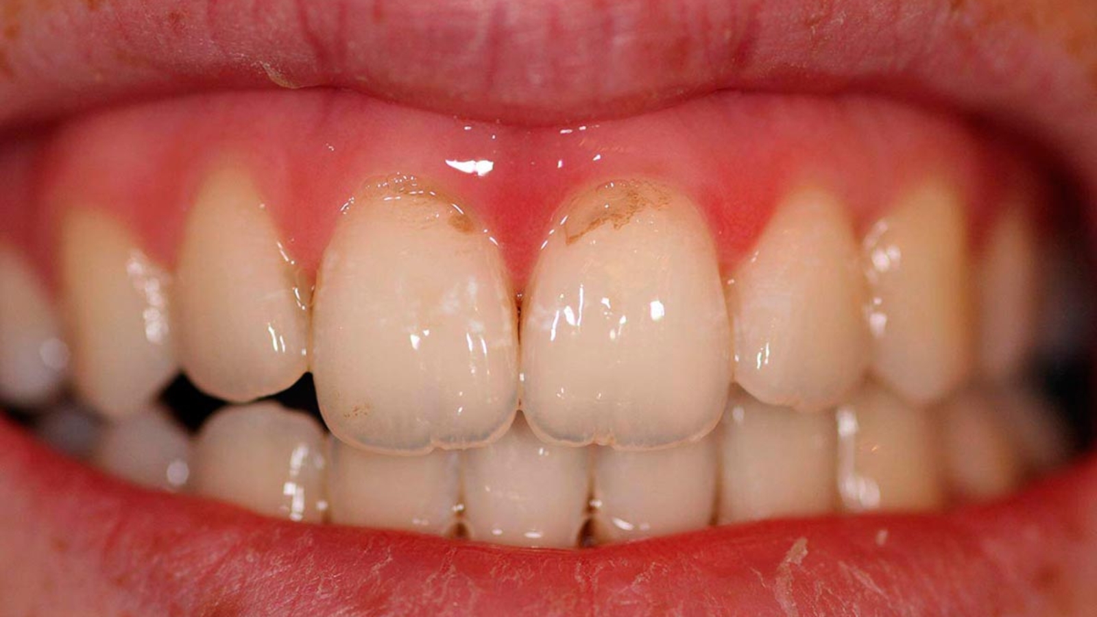
The anterior teeth are constantly visible, so any change in colour, translucency or shape quickly becomes noticeable. However, in the early stages, caries may present only as a matte spot or a subtle alteration of enamel. Pain is typically absent, which reduces patient awareness. At DentalClinic24, these early signs of caries are considered a critically important stage for preserving the natural appearance of the teeth.
The development of caries on the front teeth is often linked to the structural features of enamel in this area. It is thinner than on posterior teeth and reacts more rapidly to demineralisation. As the lesion progresses, dentin begins to show through, visually manifesting as darkening or a greyish hue. At DentalClinic24, such changes are evaluated not only in terms of tissue damage, but also from the perspective of the future aesthetic outcome.
Treating caries in the smile zone presents particular challenges. It is essential not only to remove affected tissues, but also to restore the natural optical properties of the tooth. Any mismatch in colour or translucency of the restoration becomes immediately visible. For this reason, at DentalClinic24, treatment of anterior caries always includes analysis of light transmission and tooth anatomy.
Delayed diagnosis significantly complicates treatment. With deeper lesions, the risk of pulpal involvement increases, potentially requiring endodontic intervention. Even with successful therapy, preserving the original aesthetics becomes more difficult. Professor Alexander von Breuer emphasises that timely intervention makes it possible to rely on minimally invasive methods and preserve the natural tooth structure.
Functional load should also not be underestimated. Anterior teeth are involved in biting and are subject to peak forces. In the presence of overload, carious lesions may progress more rapidly, and restoration margins may become prone to chipping. At DentalClinic24, these factors are taken into account when selecting the treatment strategy.
Early treatment of caries in the anterior teeth allows preservation not only of dental tissues, but also of patient confidence in their smile. Minimal intervention and precise restoration of shape and colour create results that do not require complex corrections in the future. At DentalClinic24, this approach is regarded as the foundation of long-term aesthetic stability.
Caries of the anterior teeth is both a dental and an aesthetic issue. The earlier the lesion is detected, the greater the opportunities for conservative treatment and preservation of the natural appearance. At Dental Clinic24, diagnosis and treatment in the smile zone are aimed at preventing progression and maintaining smile harmony.
Earlier, we wrote about fatigue failure of teeth and how DentalClinic24 identifies accumulated overloads and prevents chipping

