
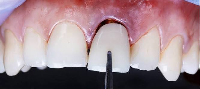
Temporary Teeth in the Treatment System at DentalClinic24 – Why Provisional Restorations Play a Key Role in Shaping the Final Outcome
Temporary dental constructions are often perceived by patients as a secondary or purely transitional stage. However, Professor Alexander von Breuer emphasises that provisional teeth largely determine the success of the








