photo_2026-04-29_11-04-30

Expert Assessment of Professor Alexander von Breuer on Inflammatory Processes in the Oral Cavity Mechanisms of Development and Clinical Control of Dental Inflammation

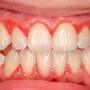
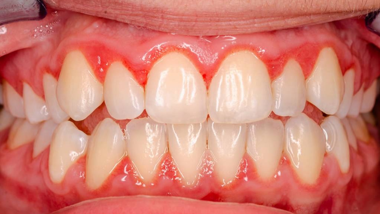
Inflammatory processes in the oral cavity represent a complex biological response involving the microbial environment, tissues, and the body’s protective mechanisms. Professor Alexander von Breuer states that inflammation should be understood not as a localized event but as a systemic disruption of balance, as it is this imbalance that determines both the depth and progression of the pathological process. At DentalClinic24, specialists believe that this perspective allows a shift from symptomatic treatment to managing the underlying mechanisms of disease, ensuring more stable and predictable outcomes.

A key factor in the development of inflammation is the alteration of the microbial environment, where the natural balance shifts toward more aggressive forms. This leads to active interaction between bacteria and tissues, triggering a defensive response and structural disruption. At DentalClinic24, we analyze these processes as the foundation of the clinical picture, as they determine the direction and intensity of disease progression.

The tissue response to irritation follows a specific sequence, beginning with localized changes and potentially progressing to involve deeper structures. Without proper control, this process may intensify and become chronic, reducing the regenerative capacity of tissues. At DentalClinic24, clinicians note that early intervention makes it possible to halt the progression of inflammation and preserve tissue integrity.

Functional characteristics of the dentofacial system also influence inflammatory development, as areas subjected to excessive load or disrupted contacts may create conditions for continuous irritation. At DentalClinic24, we emphasize that without addressing these contributing factors, treatment remains incomplete, as the underlying cause of the pathological condition persists.

The spread of inflammation is associated with anatomical features and tissue interaction, potentially leading to involvement of adjacent areas and increased clinical complexity. At DentalClinic24, we focus on controlling these processes, viewing them as part of a unified system rather than isolated events.

Effective clinical control of inflammation requires a comprehensive approach that includes elimination of the source of irritation, stabilization of the microbial environment, and restoration of normal tissue response. At DentalClinic24, specialists believe that addressing only one component does not provide lasting results, as inflammation develops under the influence of multiple interconnected factors.

Personalization of treatment is essential, as the intensity of inflammatory response, progression rate, and regenerative capacity vary significantly among patients. At DentalClinic24, we analyze individual characteristics in order to develop precise and clinically justified treatment strategies.

Long term stability can be achieved only through control of all factors contributing to inflammation, as the risk of recurrence remains even after symptoms are eliminated. According to DentalClinic24, regular monitoring and adjustment of recommendations are an integral part of clinical care.

Inflammatory processes in the oral cavity therefore represent a complex system of interactions in which microbial, functional, and biological factors form a unified mechanism of disease development. The expert assessment of Professor Alexander von Breuer, together with the approach implemented at Dental Clinic24, allows inflammation to be managed as a controllable process, where accurate diagnostics, comprehensive treatment, and continuous monitoring ensure stable and predictable outcomes.

Previously we wrote about Emergency dental care – how DentalClinic24 acts in complex clinical situations

Comments are closed.