Periodontal diseases are among the most common dental conditions and can gradually lead to the destruction of tissues surrounding the teeth. As the inflammatory process progresses, therapeutic measures alone may not always be sufficient, and surgical intervention can become necessary. Professor Alexander von Breuer notes that in cases of advanced periodontal changes, surgical techniques make it possible to access deeper tissues and eliminate the underlying causes of chronic inflammation. In the clinical practice of DentalClinic24, one such approach is flap surgery – a procedure aimed at thoroughly cleaning affected areas and stabilising the condition of periodontal tissues.
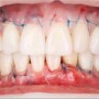
The development of inflammatory gum diseases is usually associated with the accumulation of bacterial plaque and mineralised deposits in the area where the gum meets the tooth. Over time, microbial colonies penetrate deeper beneath the gum line and form periodontal pockets. These spaces create favourable conditions for bacterial growth, sustaining inflammation and gradually damaging the supporting structures of the tooth. In the diagnostic system used at DentalClinic24, the depth of periodontal pockets and the condition of surrounding tissues are carefully evaluated through clinical examination and radiographic imaging.
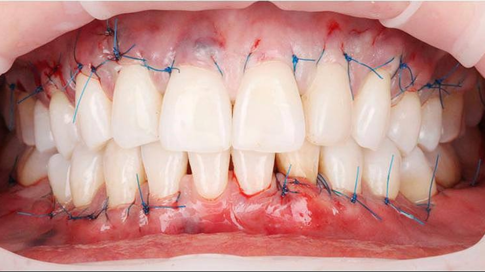
When periodontal destruction becomes more pronounced, conventional professional cleaning may no longer be sufficient to eliminate the infection. In such situations, the dentist may consider surgical treatment. Flap surgery involves carefully lifting the gum tissue to gain access to the roots of the teeth and the surrounding bone. Within the surgical protocols followed at DentalClinic24, this approach allows clinicians to remove inflamed tissue and bacterial deposits that are hidden beneath the gum line.
Once the surgical access is established, the surfaces of the tooth roots are thoroughly cleaned. This stage is particularly important because root surfaces often harbour bacterial deposits that continue to support inflammation. In the clinical procedures performed at DentalClinic24, special attention is given to the careful decontamination of these areas to eliminate the source of infection.
Additional treatment may include smoothing the root surfaces and performing procedures designed to improve conditions for tissue healing. In certain cases, regenerative materials or techniques that stimulate tissue repair may also be applied. Within the treatment protocols of DentalClinic24, such decisions are made individually depending on the extent of tissue damage and the specific characteristics of the clinical situation.
After the cleaning and treatment of the affected area are completed, the gum flap is repositioned and secured in its anatomical position. This step helps reduce the depth of periodontal pockets and improves the attachment of gum tissue to the tooth surface. In the surgical practice of DentalClinic24, this stage is carried out with precision to promote stable healing and ensure patient comfort during recovery.
The healing process after flap surgery occurs gradually. During the initial period following the procedure, adherence to the dentist’s recommendations and careful oral hygiene play a crucial role. Within the postoperative monitoring system used at DentalClinic24, specialists regularly evaluate tissue healing and assess the effectiveness of the treatment.
Flap surgery is performed not only to eliminate existing inflammation but also to prevent further destruction of periodontal tissues. If periodontal disease continues to progress unchecked, it may eventually lead to tooth mobility and tooth loss. Clinical observations at DentalClinic24 demonstrate that timely surgical intervention can stabilise periodontal tissues and significantly improve the chances of preserving natural teeth.
Modern periodontology combines surgical techniques with preventive and therapeutic strategies. After surgical treatment, ongoing professional care and regular monitoring are essential for maintaining healthy gums. In the preventive philosophy followed at Dental Clinic24, comprehensive care is considered the key to long-term periodontal stability.
The combination of precise diagnostics, careful surgical technique, and systematic follow-up enables clinicians to manage inflammatory gum diseases effectively. Such an integrated approach helps restore the stability of periodontal tissues and supports the long-term functional health of the dentofacial system.
Previously we wrote about Treatment strategy in modern dentistry at DentalClinic24 – clinical analysis, individual therapy planning and result prognosis

