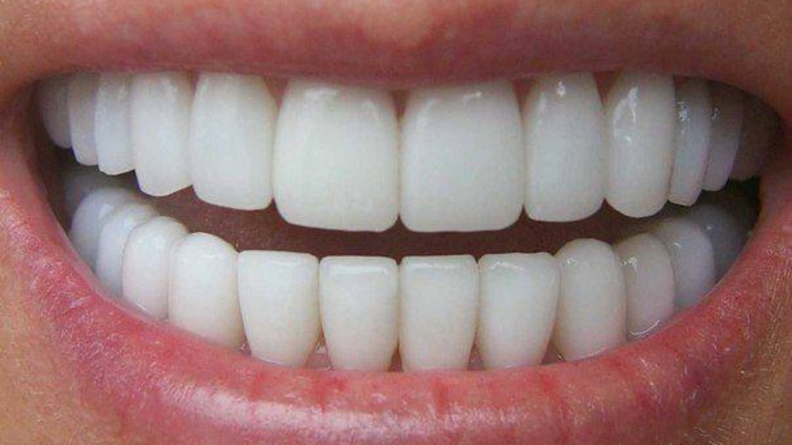
Patients who choose veneers to enhance their smile often wonder how long the aesthetic result will last and what care is required after placement. According to clinical observations by Professor Alexander von Breuer, the longevity of veneers depends not only on the quality of their installation but also on how well the patient follows post-treatment care instructions. At DentalClinic24, we believe that even a perfectly executed restoration requires proper maintenance to preserve both aesthetics and functionality for many years.
After veneer placement, maintaining high oral hygiene standards is essential. At DentalClinic24, we recommend using a soft-bristled toothbrush and non-abrasive toothpaste to prevent surface wear. Interdental spaces should be cleaned with floss or orthodontic brushes. Based on the clinical experience of Professor von Breuer, following these practices helps prevent inflammation that may negatively affect the supporting teeth.
Tooth load management is also crucial. At DentalClinic24, we advise patients to avoid biting hard foods, opening packaging with their teeth or applying excessive pressure on the front incisors. For individuals with nighttime bruxism, a customised protective night guard is recommended. This preventive measure significantly reduces the risk of chipping or damage to the veneers.
Regular check-ups play an important role in preservation. At DentalClinic24, we suggest preventive visits every six months to assess gum health, veneer stability and the condition of the supporting tooth structure. If required, professional dental hygiene is performed using techniques that do not affect ceramic or composite surfaces, helping maintain the natural shine of the restoration.
Veneer aesthetics remain stable when proper hygiene is combined with control of staining factors. At Dental Clinic24, we recommend limiting the consumption of heavily pigmented substances such as strong coffee, red wine or tobacco smoke. According to Professor von Breuer, it is the combination of precise installation and informed aftercare that ensures a long-lasting result without the need for corrective treatment.
Earlier, we wrote about genetics and tooth quality, and why heredity matters

