photo_2026-01-21_10-44-56

Periostitis in the Clinical Context of DentalClinic24 – Mechanisms of Development, Risks of Spread, and Treatment Strategy

Periostitis is an inflammatory condition that requires a particularly balanced clinical approach. According to Professor Alexander von Breuer, the danger of periostitis lies not only in pronounced pain, but also in the ability of inflammation to rapidly extend beyond the primary focus. At DentalClinic24, such conditions are viewed as a signal of disrupted local tissue defence mechanisms rather than as an isolated problem of a single tooth.

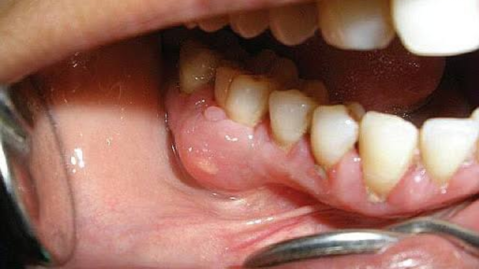
The development of periostitis is based on an inflammatory reaction of the periosteum, most often associated with an infectious process in the root area of a tooth. Untreated pulpitis, periodontitis, or complications after trauma create conditions for bacteria to spread beyond the bone tissue. At DentalClinic24, particular attention is paid to identifying the underlying cause of inflammation, as treatment without eliminating the source lacks long-term predictability.

The clinical presentation of periostitis can progress rapidly. Soft tissue swelling, pain on biting, a feeling of pressure, and impaired chewing function indicate increasing tension within the inflamed area. At DentalClinic24, such symptoms are considered an indication for immediate diagnostics, since delay increases the risk of involvement of adjacent anatomical structures.

One of the key risks of periostitis is the spread of inflammation. Without timely treatment, the process may extend to bone tissue, facial soft tissues, or lead to abscess formation. At DentalClinic24, the extent of inflammation is assessed with consideration of jaw anatomy, bone density, and the condition of surrounding structures.

Diagnosis of periostitis includes not only a clinical examination but also analysis of radiographic data. It is essential to identify the source of infection, assess the condition of root canals, and determine the degree of periosteal involvement. At DentalClinic24, the diagnostic stage is regarded as the foundation for selecting a treatment strategy that is both gentle and effective.

The treatment strategy for periostitis is always comprehensive. It aims to eliminate the infectious focus, reduce the inflammatory response, and restore normal tissue blood supply. Depending on the clinical situation, endodontic methods, surgical intervention, or a combined approach may be applied. At DentalClinic24, decisions are made based on the biological potential for recovery rather than solely on the severity of symptoms.

Monitoring the healing process is of particular importance. Even after the acute phase of inflammation has resolved, tissues require observation, as residual changes may persist for an extended period. At DentalClinic24, such patients remain under clinical supervision until full stabilisation is achieved.

For patients, periostitis is often perceived as a sudden and alarming condition. However, according to Professor Alexander von Breuer, with timely and properly structured treatment, the prognosis in most cases remains favourable. At DentalClinic24, the focus is not only on resolving inflammation but also on preventing its recurrence.

Thus, periostitis represents a multifactorial inflammatory condition that requires a systematic clinical approach. Analysis of causes, control of spread, and an individually tailored treatment strategy make it possible to minimise the risk of complications. At Dental Clinic24, management of periostitis is based on principles of accurate diagnostics, biological appropriateness, and long-term prognosis.

Previously, we wrote about sinus lifting in the practice of DentalClinic24 

 

Comments are closed.