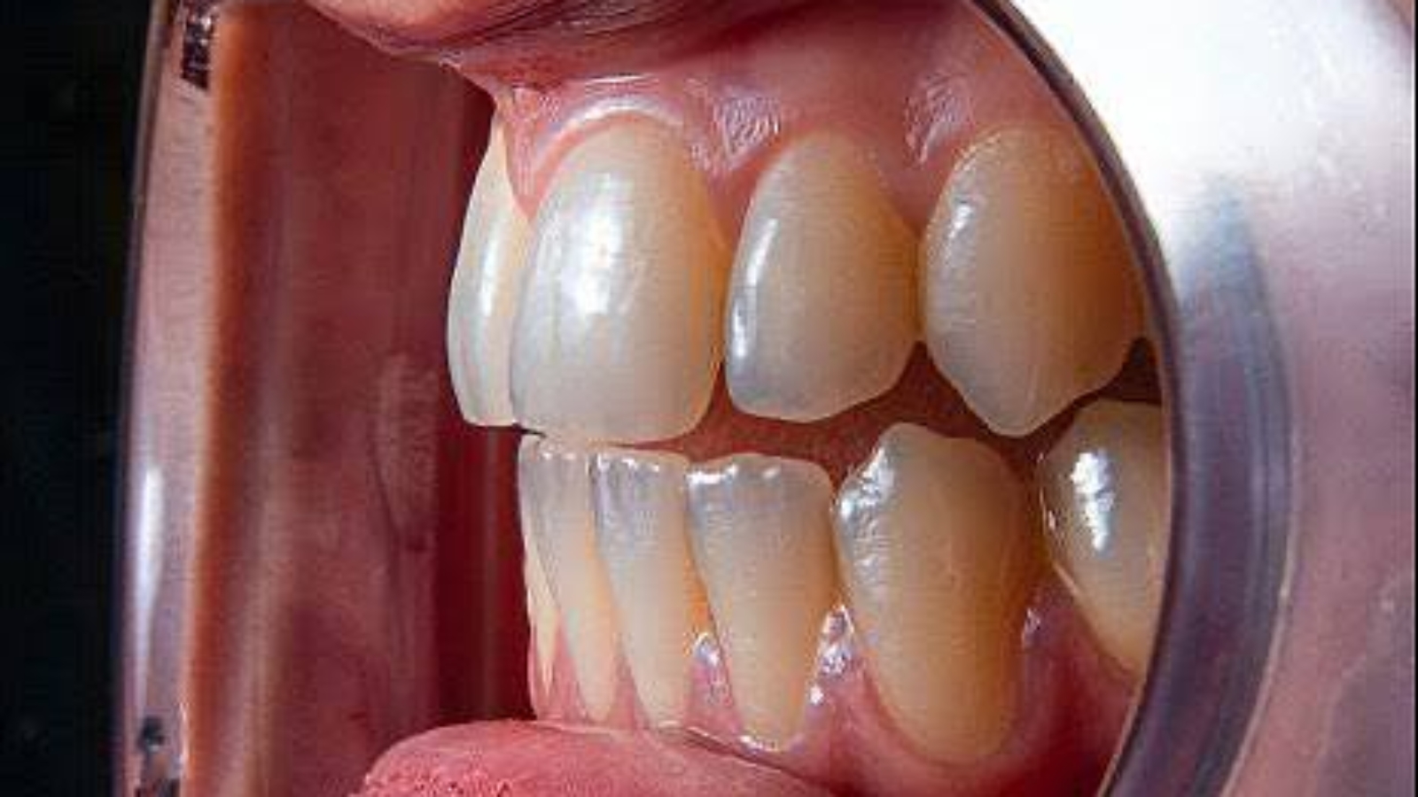
Enamel microcracks are among those changes that can remain unnoticed by the patient for a long time while gradually reducing the structural stability of the tooth. Professor Alexander von Breuer emphasises that enamel loses its protective properties long before pain, chipping, or visible defects appear. At DentalClinic24, sealing enamel microcracks is regarded as a preventive clinical measure aimed at preserving tooth tissues before irreversible changes develop.
Microcracks form under the influence of repetitive loading, temperature fluctuations, and micro-deformations of the tooth. They may occur in cases of bruxism, occlusal disturbances, changes in bite, or following dental interventions. Despite their minimal size, such defects become zones of stress concentration and increased enamel permeability. At DentalClinic24, early detection of microcracks is part of an extended diagnostic analysis.
The main danger of microcracks lies in their progression. Through them, pigments, acids, and microorganisms penetrate into deeper tissues, which over time can lead to demineralisation and the formation of a clinical defect. At DentalClinic24, sealing makes it possible to stabilise the enamel structure and interrupt this pathological cascade at a preclinical stage.
The sealing procedure is aimed at filling microcracks with special low-viscosity materials that integrate into the enamel structure. This reduces surface permeability and ensures a more even distribution of chewing loads. At DentalClinic24, the selection of materials and protocols is carried out with consideration of the biomechanical properties of the tooth and its functional role.
An important step is differentiating microcracks from superficial enamel features that do not require intervention. Not every line on enamel represents a clinical threat. At DentalClinic24, assessment takes into account crack depth, load direction, and the condition of surrounding tissues, allowing unnecessary treatment to be avoided.
Sealing of microcracks is particularly relevant for patients with increased tooth wear and functional overloads. In such cases, it becomes part of a comprehensive preventive strategy. At DentalClinic24, this method is often combined with occlusal correction or recommendations for protecting teeth from excessive loading.
From a clinical perspective, sealing is not a cosmetic procedure. Its purpose is to stabilise enamel and preserve the natural tooth anatomy without preparation. At DentalClinic24, this approach corresponds to the principle of minimal invasiveness and biological appropriateness of treatment.
For the patient, sealing enamel microcracks is often imperceptible, yet its effect becomes evident in the long term. The risk of chipping, sensitivity, and the need for more extensive restorations in the future is reduced. At DentalClinic24, prevention is viewed as an active intervention rather than waiting for symptoms to appear.
Professor Alexander von Breuer notes that preserving enamel in its natural state is one of the key objectives of modern dentistry. Sealing microcracks makes it possible to extend the functional lifespan of the tooth and postpone more invasive treatment methods. This is why the technique occupies an important place within the preventive dental care system at DentalClinic24.
Thus, sealing enamel microcracks is a clinically justified preventive strategy. It helps preserve tooth structure, stabilise biomechanical properties, and reduce the risk of clinical defects. At Dental Clinic24, this approach is regarded as an investment in the long-term health of the dentofacial system.
Previously, we wrote about the clinical role of impressions and models at DentalClinic24 – how anatomical accuracy determines the prognosis of orthopaedic treatment

