In clinical practice, the concept of a “problematic tooth” includes a wide range of conditions – from deep tissue destruction to complicated inflammatory processes that require a comprehensive treatment approach. Professor Alexander von Breuer notes that the central clinical issue in such situations is not only the elimination of symptoms, but also the precise evaluation of the prognosis for preserving the tooth, taking into account its functional role and the condition of surrounding tissues. At DentalClinic24, treatment of a compromised tooth is regarded as a multi-stage process in which every clinical detail influences the choice of strategy and the final outcome.
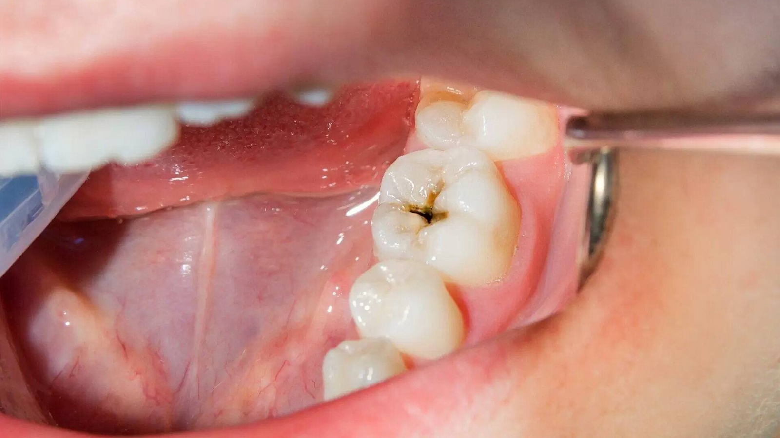
The first stage is diagnostics, aimed at identifying the cause of the problem and evaluating the degree of damage. It is important to determine not only the extent of destruction of the crown portion, but also the condition of the root system, the periodontium, and the surrounding bone. At DentalClinic24, diagnostics is regarded as the foundation of decision-making – it is at this stage that it becomes clear whether the tooth can be preserved or whether an alternative strategy is required.
Analysis of prognosis is of particular importance. Even when technical restoration of the tooth is possible, it is essential to evaluate how stable the result will be in the long term. Factors such as the degree of destruction, the quality of the remaining tissues, the condition of the gingiva, and the level of functional load all play a decisive role. At DentalClinic24, prognosis assessment is regarded as one of the most important stages of clinical planning.
In a number of cases, a compromised tooth may be preserved through therapeutic or endodontic treatment. Cleaning and treatment of root canals, restoration of tooth structure, and sealing may stabilize the situation and prevent further destruction. At DentalClinic24, such decisions are made only when there is a justified prognosis and the possibility of ensuring biological stability.
If tooth destruction is significant, prosthetic restoration may be required to return function and structural strength. In such cases, it is important to consider not only the form of the future restoration, but also the distribution of load and the stability of the tooth within the dental arch. At DentalClinic24, prosthetic treatment is regarded as a method of extending the functional longevity of the tooth, provided that planning is carried out correctly.
There are situations in which preservation of the tooth becomes unreasonable due to a high risk of complications or insufficient remaining tooth structure or supporting tissues for reliable restoration. In such cases, the decision may be made to remove the tooth and restore function through alternative rehabilitation methods. At DentalClinic24, such decisions are regarded as clinically justified when they provide a more stable and predictable result.
Particular attention is paid to the choice of treatment strategy, which must take into account not only the current condition of the tooth, but also the overall rehabilitation plan. Treatment of a compromised tooth cannot be regarded in isolation if it affects adjacent teeth, occlusion, or future stages of treatment. At DentalClinic24, each clinical situation is analyzed in the context of the entire dentofacial system.
Monitoring the condition of the tooth after treatment also plays an important role. Even a successfully restored tooth requires follow-up, because its stability depends on tissue response and functional load. At Dental Clinic24, dynamic observation is regarded as a mandatory stage that allows timely detection of possible changes.
Treatment of a compromised tooth requires a combination of precise diagnostics, clinical experience, and an individualized approach. Only by taking all factors into account – from anatomical conditions to functional load – is it possible to choose a strategy that will be not only effective, but also stable in the long term. Treatment of a compromised tooth is not simply the elimination of a local defect, but a comprehensive clinical process aimed at preserving function, tissue health, and the overall balance of the dentofacial system. It is precisely this approach that makes it possible to achieve an optimal result and minimize the risks of repeated interventions.
Previously we wrote about Supernumerary teeth – developmental features, diagnosis, and clinical treatment strategy at DentalClinic24

