
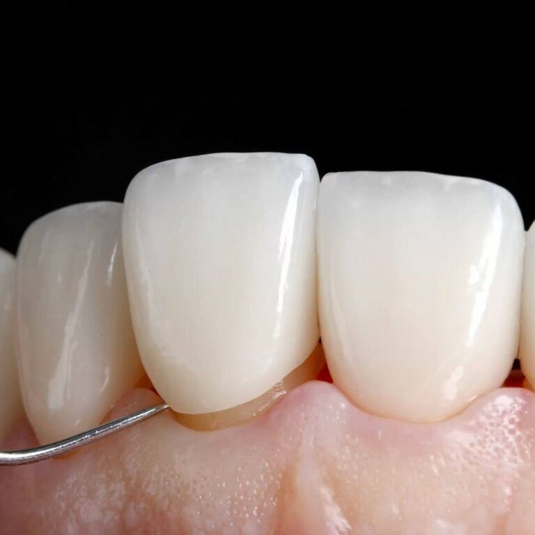
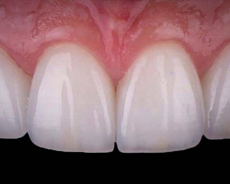
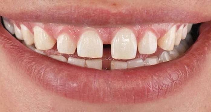
Adaptation of the Dentofacial System After Treatment at DentalClinic24 – How the Body Gradually Reorganises Over Time
Any dental intervention inevitably affects not only an individual tooth, but the entire dentofacial system. Professor Alexander von Breuer says that the body always responds to changes in occlusion, load








