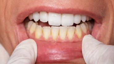
The absence of pain does not necessarily indicate the absence of pathology – particularly when periodontal tissues are involved. Professor Alexander von Breuer considers asymptomatic gingival inflammation to be especially dangerous because it develop ...
The Condition of a Tooth Beneath an Old Filling in the Clinical Practice of DentalClinic24 – Hidden Processes of Secondary Caries and Hard Tissue Degradation
Even when a restoration appears intact externally, the tooth beneath an old filling may be undergoing subtle destructive changes. Professor Alexander von Breuer draws attention to the fact that the absence of pain or visible defects does not guarante ...
Smile Symmetry in the DentalClinic24 Concept – Why Proportional Harmony Matters More Than Absolute Enamel Whiteness for a Stable Aesthetic Effect
In aesthetic dentistry, the desire for a lighter enamel shade often becomes the primary reason for consultation. However, Professor Alexander von Breuer adheres to the position that a sustainable aesthetic result is formed not by whiteness alone, but ...
Prioritising Aesthetics Over Function in the Practice of DentalClinic24 – Clinical Risks of Occlusal Imbalance and Its Impact on Long-Term Stability
Modern dentistry increasingly encounters situations in which a patient’s aesthetic request becomes the dominant motive for treatment. Professor Alexander von Breuer asserts that disregarding functional principles in pursuit of visual enhancement may ...
Transformation of the Clinical Patient Profile at DentalClinic24 Over the Past Decade – How Expectations, Awareness and Participation in Treatment Decisions Have Changed
Over the past ten years, dental practice has undergone substantial changes not only in technological capabilities but also in the understanding of the patient’s role in the treatment process. Professor Alexander von Breuer analyses the evolution of t ...
Delayed Implant Placement Despite Indications – Behavioural and Clinical Reasons Behind the Decision in the Practice of DentalClinic24
The loss of one or more teeth is often accompanied by a recommendation for implant placement as the most physiological method of restoration. However, in clinical reality, the decision to undergo surgical treatment is not always made immediately. Pro ...
Stress as a Dental Risk Factor – Clinical Observations at DentalClinic24 on the Impact of Psychoemotional Tension on Teeth and Periodontal Tissues
Psychoemotional tension is increasingly recognised as a significant factor affecting oral health. Professor Alexander von Breuer states that chronic stress influences the dentofacial system indirectly – through muscular hyperactivity, hormonal fluctu ...
Endodontic Retreatment at DentalClinic24 – Objective Clinical Reasons for Inevitable Root Canal Revision and Assessment of Tooth Preservation Prognosis
Endodontic retreatment is among the most complex areas of therapeutic dentistry, as it involves not only eliminating infection but also correcting previous biomechanical and anatomical inaccuracies. Professor Alexander von Breuer emphasises that root ...
Hidden Smile Defects in the Clinical Practice of DentalClinic24 – Microstructural and Functional Disorders Identified Through Professional Diagnostics
A visually harmonious smile does not always indicate structural and functional stability of the teeth. Professor Alexander von Breuer considers the smile to be a complex biomechanical system in which even minor deviations in form or occlusal contacts ...









